Закрытие рецессии
Хирургическое восстановление уровня десны при оголении корня зуба.
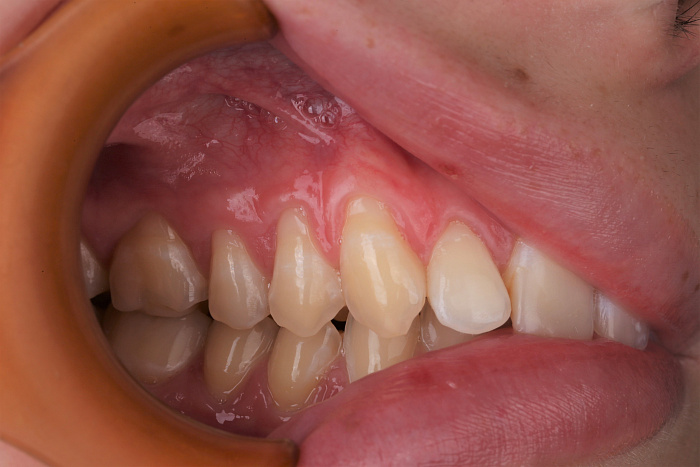
Рецессия десны — это опущение её края, которое приводит к оголению шеек и корней зубов. Этот процесс не связан с инфекцией, но со временем может вызвать повышенную чувствительность и эстетические нарушения.
На начальном этапе рецессия может не вызывать выраженных симптомов, но по мере прогрессирования становится заметным не только эстетический дефект, но и дискомфорт при приёме пищи, обнажение корня, убывание костной ткани. Причинами рецессии могут быть как травмы, так и системные факторы, включая возрастные изменения, особенности строения десны. Единственным эффективным методом устранения рецессии на этапе, когда уже изменена форма десны, является хирургическое вмешательство. Оно позволяет закрыть обнажённый участок корня и восстановить здоровую линию десны.
Перед операцией врач оценивает глубину рецессии, состояние тканей, наличие воспаления, определяет причины патологии. Выполняется профессиональная гигиена, при необходимости — лечение кариеса, коррекция прикуса.
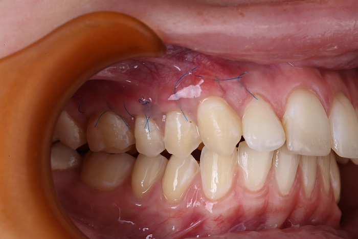
Лоскутная пластика — классический метод, при котором берётся участок слизистой с неба или другого участка десны и пересаживается в зону рецессии. Донорская ткань укрепляется швами, приживается в течение 1–2 недель. Также может применяться десневой трансплантат, в том числе СДТ (свободный десневой трансплантат), ДСДТ (десне-надкостничный трансплантат) или ССТ (соединительнотканный трансплантат).
Используется микрохирургический инструментарий, лазерное и ультразвуковое оборудование для щадящей подготовки тканей. Применяются сертифицированные биоматериалы.
После вмешательства пациенту рекомендуется соблюдать мягкую диету, исключить механическое и температурное раздражение зоны операции, отказаться от физических нагрузок. Швы снимаются через 7–10 дней. Эстетический эффект заметен уже через 2–3 недели.
Преимущества
Индивидуальный подход
Выбор метода в зависимости от клинической ситуации, анатомии десны и причины рецессии.
Современные методы
Снижают травматичность и ускоряют заживление.
Профилактика осложнений
Снижение чувствительности, риска расшатывания зубов и убыли кости.
Эстетическое восстановление
Восстановление естественной линии десны и закрытие обнажённого корня.
Вопросы и ответы
Когда можно вернуться к обычному питанию?
Останется ли след после операции?
Можно ли вылечить рецессию без операции?
Почему возникает рецессия десны?
Не нашли ответ на вопрос?
Вы можете подробно описать свою проблему и задать вопрос доктору. Он ответит вам и поможет найти решение.
Врачи
Смотреть всех врачейКандидат медицинских наук. Врач стоматолог-хирург. Специализируется на имплантологии, пародонтологии.
Результаты работ
Сопутствующие направления деятельности
Консультация врача-ортодонта
Консультация врача-ортодонта – это профессиональная оценка состояния зубов, зубных рядов, прикуса и функций зубочелюстной системы с целью определения необходимости и возможностей ортодонтического лечения.
Первичная консультация врача-стоматолога
Врач-стоматолог проконсультирует при наличии заболеваний ротовой полости, назначит лечение, а также подберет уход и расскажет о профилактике заболеваний зубов и десен.
Имплантация All-on-6
Имплантация all on 6 является эффективной альтернативой съемным протезам. Суть метода заключается в установке шести искусственных имплантов на одну челюсть с последующей фиксацией на них протеза.
Имплантация зубов All-on-4
Имплантация all on 4 является эффективной альтернативой съемным протезам. Суть метода заключается в установке четырех искусственных имплантов на одну челюсть с последующей фиксацией на них протеза.
Удаление зуба мудрости
Удаление зуба мудрости – это хирургическая операция по извлечению третьего моляра из зубной альвеолы. Особенность проведения вмешательства заключается в трудности доступа, особенно к корням восьмерок.
Виниры на рефракторе (полевошпатные виниры)
Виниры на рефракторе (полевошпатные виниры) – это ультратонкие накладки из специальной стеклокерамики, в составе которой содержатся полевые шпаты.
Как нас найти
Написать главному врачу
Как добраться
От станции метро «Белорусская» Замоскворецкой линии — выход 4. После выхода из метро пройдите по пешеходному тоннелю и поднимитесь по лестнице. Двигайтесь в сторону железнодорожных путей, спуститесь по лестнице сразу после них и пройдите вдоль дома, далее поверните направо на ул. 1-я Ямского Поля. На повороте на ул. 3-я Ямского Поля по пешеходному переходу перейдите дорогу и продолжайте двигаться по ул. 1-я Ямского Поля, через несколько зданий слева вы увидите «Олимп Клиник МАРС».
Время в пути
9 минут
Ориентир
Вывеска Олимп Клиник МАРС
Как добраться
От станции метро “Белорусская” Кольцевой линии - выход 2. После выхода из метро поверните налево и пройдите до пешеходного перехода. Перейдите дорогу через два пешеходных перехода и двигайтесь по Тверскому путепроводу. Спуститесь по лестнице сразу после железнодорожных путей, пройдите вдоль дома, далее поверните направо на ул. 1-я Ямского Поля. На повороте на ул. 3-я Ямского Поля по пешеходному переходу перейдите дорогу и продолжайте двигаться по ул. 1-я Ямского Поля, через несколько зданий слева вы увидите “Олимп Клиник МАРС”
Время в пути
11 минут
Ориентир
Вывеска Олимп Клиник МАРС
- Маршрут от 4 выхода станции метро «Белорусская»
- Маршрут от 2 выхода станции метро «Белорусская»
Схема проезда к парковке
Вы сможете оставить автомобиль на территории клиники Олимп Клиник МАРС при наличии свободных мест. Если парковка будет занята, то сотрудник охраны попросит Вас припарковать автомобиль на нашей дополнительной парковке всего в 100 метрах от клиники. Наш сотрудник расскажет, как вам проехать на парковку.
Написать главному врачу
От станции метро «Цветной бульвар»
1 выход в город, далее налево к Садовому кольцу, на переходе направо, пересечение бульвара, еще один переход и на светофоре налево. Здание Олимп Клиник расположено с видом на Садовое кольцо справа от перехода. Время в пути примерно 9 минут. Ориентир – вывеска Олимп Клиник
От станции метро «Сухаревская»
3 выход из метро и 640 метров прямо, клиника будет справа. Ориентир – вывеска Олимп Клиник
- Маршрут от станции метро «Сухаревская»
- Маршрут от станции метро «Цветной бульвар»
Схема проезда к парковке
С ул. Садовой-Сухаревской, свернуть направо к Олимпийскому проспекту. В правом ряду, через 80 метров, необходимо свернуть к шлагбауму “Автомойка”
От станции метро «Сокол»
Последний вагон из центра: идти по указателям Выход 5. Из стеклянных дверей направо и пройти до конца перехода. Выход в город по ступенькам налево. После выхода из перехода на улицу идти прямо вдоль Ленинградского проспекта до пересечения с Чапаевским переулком. Далее, повернуть направо (на Чапаевский переулок) и дойти до ЖК Триумф Палас. Вход на территорию: через КПП № 1, напротив магазина «Вкусвилл», потребуется предъявить паспорт.
После прохода через КПП поднимаетесь по лестнице к фонтану, напротив него вы увидите нашу клинику.
Время в пути
10-12 минут
От станции метро «Аэропорт»
Первый вагон из центра: идти по указателям Выход 2-3. Из стеклянных дверей налево и пройти до конца перехода. После выхода из перехода на улицу идти прямо вдоль Ленинградского проспекта до пересечения с Чапаевским переулком. Далее, повернуть налево (на Чапаевский переулок) и дойти до ЖК Триумф Палас. Вход на территорию: через КПП № 1, напротив магазина «Вкусвилл», потребуется предъявить паспорт.
После прохода через КПП поднимаетесь по лестнице к фонтану, напротив него вы увидите нашу клинику.
Время в пути
12-15 минут
- Маршрут от станции метро «Аэропорт»
- Маршрут от станции метро «Сокол»
Как добраться
Заезд на территорию запрещен, но вокруг ЖК «Триумф Палас» расположены бесплатные городские парковки, где вы без труда найдете место для своего автомобиля.Зона бесплатной парковки:
Написать главному врачу
Как добраться
От станции метро «Белорусская» Замоскворецкой линии — выход 4. После выхода из метро пройдите по пешеходному тоннелю и поднимитесь по лестнице. Двигайтесь в сторону железнодорожных путей, спуститесь по лестнице сразу после них и пройдите вдоль дома, далее поверните направо на ул. 1-я Ямского Поля. На повороте на ул. 3-я Ямского Поля по пешеходному переходу перейдите дорогу и продолжайте двигаться по ул. 1-я Ямского Поля, через несколько зданий слева вы увидите «Олимп Клиник МАРС».
Время в пути
9 минут
Ориентир
Вывеска Олимп Клиник МАРС
Как добраться
От станции метро “Белорусская” Кольцевой линии - выход 2. После выхода из метро поверните налево и пройдите до пешеходного перехода. Перейдите дорогу через два пешеходных перехода и двигайтесь по Тверскому путепроводу. Спуститесь по лестнице сразу после железнодорожных путей, пройдите вдоль дома, далее поверните направо на ул. 1-я Ямского Поля. На повороте на ул. 3-я Ямского Поля по пешеходному переходу перейдите дорогу и продолжайте двигаться по ул. 1-я Ямского Поля, через несколько зданий слева вы увидите “Олимп Клиник МАРС”
Время в пути
11 минут
Ориентир
Вывеска Олимп Клиник МАРС
- Маршрут от 4 выхода станции метро «Белорусская»
- Маршрут от 2 выхода станции метро «Белорусская»
Схема проезда к парковке
Вы сможете оставить автомобиль на территории клиники Олимп Клиник МАРС при наличии свободных мест. Если парковка будет занята, то сотрудник охраны попросит Вас припарковать автомобиль на нашей дополнительной парковке всего в 100 метрах от клиники. Наш сотрудник расскажет, как вам проехать на парковку.